
Cliniquement, les varices peuvent provoquer une sensation de jambes lourdes, des douleurs, des crampes nocturnes, des démangeaisons ou un œdème des chevilles. Dans les cas plus avancés, elles peuvent entraîner des complications comme la phlébite superficielle ou profonde. Au niveau cutané, la stase veineuse peut provoquer des modifications de la peau.
Plusieurs facteurs favorisent leur apparition. Mon travail est d’identifier les causes, de prévenir les conséquences de cette insuffisance et de traiter la maladie veineuse.
Pour cela nous faisons appel à plusieurs technologies en fonction de la taille de la varice :
– Sclérothérapie liquide : injection d’un produit sclérosant qui ferme la veinule
– Laser transcutané : utile pour les très fines varicosités ou zones sensibles (visage, chevilles)
– Sclérothérapie à la mousse : injection sous contrôle échographique
– Laser endoveineux
– Chirurgie (cas sélectionnés)
– Phlébectomies ambulatoires
Nous prenons également en charge les signes cliniques d’insuffisance veineuse. (Veinotonique et élastocompression). Toute prise en charge commence par un état des lieux de vos jambes.
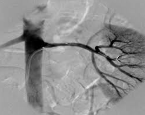
Il repose sur l’Echographie et l’effet Doppler, qui permet d’analyser la vitesse et la direction du flux sanguin en temps réel. Cet examen est indolore, rapide et ne nécessite aucune préparation particulière.
Il est principalement utilisé pour dépister ou surveiller les maladies artérielles, comme l’athérosclérose, les sténoses (rétrécissements artériels), les occlusions ou les anévrismes. Il arrive souvent en complément d’une exploration cardiaque.
On le réalise fréquemment au niveau des artères des membres inférieurs en cas de douleurs à la marche (artériopathie oblitérante), des carotides pour évaluer le risque d’accident vasculaire cérébral, ou encore des artères rénales et abdominales selon les indications.
Le Doppler artériel fournit des informations essentielles : qualité du flux sanguin, présence de plaques d’athérome, degré de rétrécissement et retentissement sur la circulation.
Ces données permettent un diagnostic précoce et orientent les décisions thérapeutiques, qu’il s’agisse de mesures médicales, de modifications du mode de vie ou d’une intervention vasculaire (parfois même en urgence).
Notre domaine d’expertise s’étend à tous les types de doppler pour la prévention, le diagnostic et le suivi des maladies vasculaires.

Pendant la consultation initiale, le médecin phlébologue recherche d’éventuelles contre-indications et étudie vos antécédents médicaux. Il analyse votre insuffisance veineuse ainsi que la nature de votre peau. Puis, il vous explique la procédure, le matériel utilisé et les soins à prodiguer après traitement. Le médecin détermine aussi le nombre de séances nécessaires. Pour cela il vous fera un doppler veineux.
Une à deux heures avant la séance, une crème anesthésiante est appliquée sur la zone à traiter afin de rendre le traitement indolore et confortable.
Un faisceau laser est parcouru sur les télangiectasies et entraine un spasme de celle-ci. Plus la veinule est grosse plus la réaction est forte.
En fin de séance, une crème cicatrisante est appliquée sur la zone traitée.
Une prise en charge précoce permet de limiter l’évolution et d’améliorer la qualité de vie.
